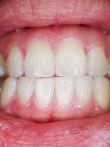
Los “agujeros negros” en la encía, también conocidos como espacios interdentales negros o triángulos negros, son una preocupación estética y funcional común que afecta a muchas personas. Estos espacios aparecen cuando la encía no cubre completamente el área entre los dientes, generando un hueco visible, que puede afectar la armonía de la sonrisa y causar molestias en la higiene bucal.
Afortunadamente, la medicina estética dental ofrece soluciones innovadoras para tratar este problema. La infiltración de ácido hialurónico se ha posicionado como un tratamiento eficaz y mínimamente invasivo para sellar estos espacios y mejorar la apariencia de la sonrisa.
¿Qué son los agujeros negros en la encía y por qué aparecen?
Los agujeros negros en la encía son espacios triangulares visibles entre los dientes causados por la pérdida o retracción del tejido gingival. Pueden aparecer debido a diversos factores como:
- Enfermedad periodontal o gingivitis mal tratada.
- Técnicas de cepillado agresivas que dañan la encía.
- Envejecimiento natural y pérdida de elasticidad del tejido.
- Malposición dentaria o ortodoncia previa.
- Procedimientos dentales recientes o quirúrgicos que afectan la encía.
Estos espacios no solo afectan la estética, sino que también pueden acumular restos de comida, dificultando la higiene y favoreciendo la inflamación o el mal aliento.
¿Cómo puede ayudar el ácido hialurónico a sellar los agujeros negros?
El ácido hialurónico es un componente natural en nuestro cuerpo, conocido por su capacidad para retener agua y promover la regeneración tisular. En odontología estética, se utiliza para mejorar el volumen y la calidad del tejido gingival, rellenando los espacios interdentales y restaurando la armonía de la línea de la encía.
La infiltración de ácido hialurónico en la encía ayuda a:
- Aumentar el volumen del tejido gingival.
- Mejorar la textura y firmeza de la encía.
- Reducir la profundidad de los triángulos negros.
- Facilitar la limpieza interdental al eliminar espacios donde se acumulan residuos.
- Mejorar la estética dental y la confianza al sonreír.
El procedimiento de infiltración con ácido hialurónico en la encía
En Escanilla Casal realizamos este tratamiento con técnicas precisas y productos de alta calidad para garantizar seguridad y eficacia. El procedimiento es rápido, mínimamente invasivo y se realiza en consulta bajo anestesia tópica para evitar molestias.
El especialista realiza microinyecciones de ácido hialurónico en las zonas afectadas, adaptando la cantidad y el lugar exacto para conseguir un relleno natural y simétrico. La sesión dura aproximadamente 30 minutos y no requiere recuperación ni cuidados especiales complejos.
Resultados y duración del tratamiento
Los resultados después de la infiltración con ácido hialurónico son visibles inmediatamente: los triángulos negros se rellenan y la sonrisa recupera un aspecto armonioso y saludable. El efecto del ácido hialurónico puede durar entre 6 y 12 meses, dependiendo de factores individuales como el metabolismo y hábitos de higiene.
Es posible repetir el procedimiento para mantener o mejorar los resultados a lo largo del tiempo, con sesiones de mantenimiento recomendadas por el especialista.
Ventajas de la infiltración con ácido hialurónico en la encía

- Procedimiento rápido y ambulatorio: Sin necesidad de cirugía ni hospitalización.
- Mínimas molestias: Se utiliza anestesia tópica y el proceso es bien tolerado.
- Resultados inmediatos y naturales: Mejora estética sin alterar la funcionalidad.
- Mejora la higiene bucal: Al eliminar espacios donde se acumulan restos.
- Reversibilidad y seguridad: El ácido hialurónico es biocompatible y reabsorbible.
Recomendaciones para el cuidado de la encía tras la infiltración
Después del tratamiento, es recomendable:
- Evitar el cepillado abrasivo en la zona infiltrada durante las primeras 24 horas.
- No consumir alimentos muy calientes o irritantes durante el día.
- Mantener una higiene oral adecuada con cepillos suaves y uso de hilo dental.
- Acudir a las revisiones para evaluar la evolución y realizar mantenimientos si es necesario.
Preguntas frecuentes sobre los agujeros negros en la encía y su tratamiento
¿Puedo hacerme la infiltración si tengo gingivitis?
No se recomienda en casos de inflamación activa o enfermedad periodontal. Primero debes tratar la salud de tus encías y luego evaluar el tratamiento estético.
¿Cuánto dura la sesión? ¿Es dolorosa?
La sesión dura alrededor de 30 minutos y se utiliza anestesia tópica para evitar molestias. La mayoría de pacientes la tolera muy bien.
¿Es un tratamiento permanente?
No, el ácido hialurónico se reabsorbe con el tiempo. Se recomienda realizar sesiones de mantenimiento para conservar los resultados.
¿Es compatible con otros tratamientos dentales?
Sí, puede combinarse con limpiezas dentales, ortodoncia o tratamientos periodontales para obtener un resultado integral.
Por qué elegir Escanilla Casal para tu tratamiento
En Escanilla Casal, en Mollet del Vallès, cuentan con la experiencia y la tecnología necesaria para realizar la infiltración con ácido hialurónico de forma segura y eficaz. La prioridad es restaurar no solo la estética sino también la salud y función de la encía, para ofrecer una sonrisa bonita y saludable.
Recupera la armonía de tu sonrisa sellando los agujeros negros en la encía
La presencia de agujeros negros en la encía puede afectar tu autoestima y salud bucal, pero con la infiltración de ácido hialurónico puedes lograr un cambio visible y natural. Esta técnica segura, rápida y eficaz te ayuda a recuperar un contorno gingival armonioso y favorece una mejor higiene dental. Acude con nuestros especialistas y da el primer paso para lucir una sonrisa renovada. ¡Agenda tu consulta ahora y comienza tu tratamiento hoy mismo!



